























I started my Invisalign treatment a year ago, and I am extremely happy with it. They offered me an excellent solution, especially because I do not live in Istanbul. The treatment has made everything very easy and convenient, and I do not need to travel frequently. It has worked perfectly for my situation. Everyone is very kind and always quick to reply my questions. Thank you!

I had a really positive experience at Novedent. From the moment I arrived, the team was welcoming and professional, which immediately put me at ease. The clinic was clean, well-organised, and very comfortable. The dentists explained everything clearly and made sure I felt relaxed throughout the treatment. I’m very happy with the care I received and the results. I would definitely recommend Novedent to anyone looking for a trustworthy dental clinic.

The dentist is extremely knowledgeable and explained every step in a clear and reassuring way. The staff is very friendly, and I felt comfortable the entire time. Clean clinic and excellent care. Highly recommend!

I went in with severe pain, and they treated my decayed teeth immediately. I was very satisfied with the treatment and the price performance balance. Many thanks to my doctor.

Everything felt under control and well planned. The staff was attentive and kind. I felt comfortable throughout🌸🌸

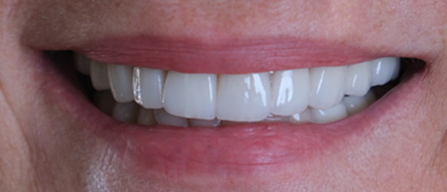
I had 16 veneers done at Novedent and I’m really happy with the results. The team was professional, kind, and the whole process went smoothly. Highly recommended.

Great dentist! Very professional, friendly, and made me feel comfortable. Highly recommended.

The clinic is very clean and clearly well managed. The staff was friendly without being fake. I appreciated that

Thank you Novedent! I felt very comfortable thanks to the staff’s behavior throughout the procedure. The only place I regularly visit for dental cleaning!

I recently visited Novedent and had an exceptional experience. The staff was incredibly welcoming and professional, making me feel comfortable from the moment I walked in. The service was top-notch, with the dental team showing great expertise and care throughout my treatment. I am extremely satisfied with the results and highly recommend this clinic to anyone looking for high-quality dental care. Thank you for your outstanding service!













In specific cases with sufficient bone density, we can use Straumann implants to load the tooth immediately. However, for most patients, we recommend the standard 2-stage waiting period to ensure the implant is 100% stable for a lifetime.
Implant treatment is a biological process that requires two stages:
- Visit 1 (3–5 Days): We place the implant (the titanium screw) into the jawbone. You then go home for 3–6 months to allow the bone to fuse with the implant (osseointegration).
- Visit 2 (5–7 Days): You return to Istanbul for us to attach the abutment and fit your permanent crown (the visible tooth).
The procedure itself is pain-free as it is performed under strong local anesthesia. Most patients report that it is less uncomfortable than having a tooth extracted. For the days following the surgery, any minor soreness can be easily managed with standard painkillers we provide.
Yes. Because we use top-tier brands, our implants come with a Lifetime International Warranty from the manufacturers. You will receive a warranty card (implant passport) with the serial number of your implant after your surgery.
You can save up to 70% by choosing Novedent. While a single Zirconium crown might cost £600–£1,000 / $800–$1,500 in the UK or USA, our prices are significantly lower due to lower operational costs without compromising on the high quality of the materials (we use certified Swiss/German brands).
While rare with materials like Zirconium, chips can happen. We offer a guarantee on our crowns (typically 5 years). If a crown breaks due to a material defect or our workmanship, we will replace it free of charge at Novedent.
Typically, no. Because veneers are considered a cosmetic procedure (esthetic dentistry), most international insurance providers do not cover them. However, if the veneer is replacing a broken or damaged tooth, some plans might offer partial coverage. We will provide you with a detailed invoice to check with your provider.
A full set of veneers in the UK or US can cost $20,000–$30,000. In Turkey, you can get the exact same premium Emax veneers for 70% less. This is not due to lower quality, but lower laboratory and labor costs in Turkey. You are paying for the dentist's expertise, not inflated overheads.
No. The preparation is done under local anesthesia, so you won't feel anything. After the anesthesia wears off, you might feel some sensitivity to hot or cold for a few days, but this is temporary and normal.
No. High-quality Emax porcelain is non-porous, meaning it cannot absorb pigments like natural teeth or composite resin. Your veneers will remain permanently white and bright, even if you drink coffee, tea, or red wine.
No. The "fake" look comes from using cheap, opaque materials or choosing a shade that is too white for your skin tone. We use Digital Smile Design (DSD) technology before we even touch your teeth. We design a custom smile that matches your facial structure, lips, and personality. You can choose a "Natural White" or a brighter "Hollywood White" the choice is yours, but we will guide you to ensure it looks elegant.
This depends on how wide your smile is.
8-10 Veneers (Top Jaw): The most common option for a natural smile makeover.
20 Veneers (Full Mouth): For a complete transformation of both upper and lower teeth. During your free video consultation, we can count your visible teeth and tell you exactly how many you need.
A single Straumann implant in the UK can cost £2,500+. In Novedent, we offer the exact same authentic Straumann implant for a fraction of that price (often 50–70% less). This is possible because of lower laboratory fees, operational costs, and our high volume of orders which gives us better pricing from the manufacturers.
Straumann is the pioneer of implant dentistry. They use a special surface technology (SLActive®) that accelerates healing and reduces the risk of inflammation. While other brands like Medentika and Medigma are excellent and reliable, Straumann is often recommended for patients with lower bone density or those who want the absolute best technology available.
We refuse to compromise on quality. We use only premium, globally recognized implant systems to ensure high success rates and longevity:
- Straumann (Swiss): The world’s #1 implant brand, known for its fast healing time and lifetime warranty.
- Medentika (Germany/Swiss): A Straumann Group company, offering high German precision at a more accessible price point.
- Medigma (Germany): An excellent choice known for its stability and versatile solutions.
- Swiss Implants: We specialize in Swiss-engineered implants, which are the gold standard in modern dentistry.
They are also extremely thin, which means that drilling or shaving of the teeth is not required.
Limited strength: While eMax crowns are highly durable, they are not as strong as zirconia crowns, which are made of a more robust material. This means that eMax crowns may not be the best choice for back teeth that require high strength and durability.
As Emax Veneers are thinner, they require less etching and enamel removal than traditional veneers. On top of this, Emax veneers are stronger and harder, offering superior durability that makes them less susceptible to cracks and chips.
E-max is Lithium Disilicate glass, an all-ceramic system. It is one of the most aesthetically pleasing options, porcelain can be layered on it, creating incredible translucency and a very realistic looking tooth that matches with other natural teeth.
Yes. Once bonded, Emax veneers and Zirconium crowns act just like natural teeth. You can eat apples, meat, and other foods normally. However, we advise against using your teeth as tools (e.g., opening bottle caps) or biting extremely hard objects like ice, just as you should avoid doing with natural teeth.
With proper maintenance, your Hollywood Smile can last 15–20 years. The Emax and Zirconium materials we use are incredibly durable. We provide a guarantee certificate for your treatment.
A full Hollywood Smile makeover is completed in just 5–7 days.
- Visit 1: Consultation, 3D Design, and Preparation.
- Visit 2: Trial fitting (Checking the shape and color).
- Visit 3: Final bonding of your new smile. You can fly home with your new smile in less than a week.
No. That is an aggressive technique used for old-fashioned crowns, not modern aesthetics. For a Hollywood Smile using Laminate Veneers, we are minimally invasive. We only etch the surface (0.3mm–0.5mm) to create a bond. Your natural tooth structure remains strong and intact underneath.
No. This is a common myth caused by low-quality work where veneers are not fitted correctly, allowing bacteria to get trapped underneath. At Novedent we use CAD/CAM digital scanning to ensure a microscopic, perfect fit between the veneer and your gum line. This prevents any gaps for bacteria to hide. As long as you maintain good oral hygiene (brushing and flossing), your breath will remain fresh.
Absolutely. While the name says "Hollywood," you don't have to choose the blinding "Extra Bleach White" shade if you prefer something subtler. We offer a full color chart, ranging from Natural White (mimicking healthy enamel) to Hollywood White (the celebrity look). We will test these shades with you during your consultation to find the perfect match for your skin tone.
Professional laser whitening in the UK or USA can cost $500–$800. In Turkey, we offer the same premium treatment for a fraction of that price.
For the first 48 hours after your treatment, your teeth are like a dry sponge and can absorb color easily. You must avoid colored foods and drinks to protect your new smile.
Avoid: Coffee, tea, red wine, curry, tomato sauce, chocolate, and berries.
Safe to Eat: Chicken, rice, pasta (white sauce), potatoes, milk, and clear liquids.
Professional whitening typically lasts 6 months to 2 years, depending on your lifestyle. If you smoke or drink a lot of coffee, the results may fade faster.
Pro Tip: We can provide you with a professional home-maintenance kit to top up your smile once a month.
You might feel some minor sensitivity to cold air or drinks for 24 hours after the treatment, but this is temporary. In our clinic, we use desensitizing agents before and after the procedure to minimize discomfort. Unlike harsh home kits that can burn your gums, professional whitening is controlled and safe.
The main differences are safety, speed, and results.
- Home Strips: often take 2–3 weeks to show results and can cause gum irritation or uneven "patchy" whitening because they don't fit your teeth perfectly.
- Professional Whitening: is performed in our clinic in just 1 hour. We use a protective barrier to keep your gums safe and a medical-grade gel activated by laser/light for an instantly brighter, even smile without the mess.
Yes. In fact, we highly recommend it. For a "Hollywood Smile" makeover, aligning the gum line is just as important as the teeth themselves. We often perform the gum lift (pink aesthetics) in the same session as your tooth preparation (white aesthetics) for a perfectly symmetrical result.
In the UK or USA, gum contouring can cost $300–$600 per tooth. In our clinic, we offer this treatment for a significantly lower price, and it is often included as a complimentary part of our full "Smile Makeover" packages.
Generally, no. Once the excess gum tissue is removed, the results are permanent. However, it is important to maintain good oral hygiene to prevent inflammation, which can sometimes make gums look swollen again.
A gingivectomy is a cosmetic procedure designed to reshape your gum line. If you feel your teeth look "too short" or you show too much gum when you smile (a "gummy smile"), we use this simple treatment to gently remove excess gum tissue and reveal the full, beautiful shape of your natural teeth.
Root canal treatment in Turkey is extremely affordable compared to the UK or USA, often saving you 60–75%. Since we use the same high-standard equipment and materials, you get premium care for a fraction of the price.
Yes, in most cases. Because the tooth has lost its nerve and blood supply, it can become brittle and weak over time. Placing a Zirconium or Emax Crown over the treated tooth protects it from breaking and restores its full strength for chewing.
You might feel some minor soreness or sensitivity for a few days as the area heals, but this is normal. We will prescribe you standard painkillers to manage any discomfort. Most patients return to their normal routine the very next day.
In our clinic, we use advanced Rotary Endodontics (electric instruments) which makes the process much faster. A root canal typically takes 45–60 minutes and can usually be completed in a single visit. (Complex cases with severe infection may require two visits).
With modern local anesthesia, a root canal is no more painful than getting a regular filling. We use a powerful local anesthetic to completely numb the area around the tooth before we start. The pain you feel usually comes from the infection before the treatment, not the treatment itself. The root canal actually stops the pain.
Our priority is always to save your natural tooth if possible. A root canal allows you to keep your original tooth structure. However, if the tooth is too damaged to be saved, we will recommend an extraction and a dental implant as the best replacement. We will guide you to the right choice during your consultation.
A composite filling in our clinic is significantly more affordable than in the UK or USA, often costing 50–70% less. It is an easy and cheap treatment to add to your plan if you are already here for other work.
On average, composite fillings last 5–10 years, depending on your oral hygiene and eating habits. If you grind your teeth at night, we recommend wearing a night guard to protect your fillings from wearing down.
For White (Composite) Fillings: Yes! We cure (harden) the material instantly with a special blue light in the chair. You can chew on it as soon as you leave the clinic. However, we recommend waiting until the numbness wears off so you don't accidentally bite your cheek.
Avoid very hot or cold drinks for the first 24 hours, as the tooth might be slightly sensitive.
The numbness from the local anesthesia typically wears off after 2 to 4 hours. During this time, your lip and tongue might feel "fat" or tingly.
Warning: Be careful not to bite your lip, cheek, or tongue while you are still numb!
Modern composite materials are incredibly durable and can withstand the pressure of chewing in the back teeth (molars). With proper care, they are just as reliable as old-fashioned metal fillings but look much better.
Yes, this is a very common request. Many patients dislike the look of old grey metal fillings or worry about mercury. We can safely remove your old amalgam fillings and replace them with high-quality, aesthetic composite resin in a single visit.
Since resin is not as hard as porcelain, it can chip if you bite on hard objects (like ice or fingernails). The good news is that bonding is very easy to repair. We can simply add more resin to the chipped area in a quick 30-minute appointment.
No. The resin material used in bonding does not respond to whitening gels. If you bleach your teeth after bonding, your natural teeth will get lighter, but the bonding will stay the same color, looking patchy.
Pro Tip: If you plan to whiten your teeth, you must do it before the bonding procedure so we can match the resin to your new, brighter shade.
Yes. Because your underlying tooth structure is kept intact, bonding is reversible. If you decide later that you want to upgrade to Porcelain Veneers or return to your natural teeth, the bonding can be carefully polished off.
Not at all. Because we are not drilling into the sensitive part of the tooth, no anesthesia (injections) is usually required. You can walk in and walk out with a new smile in just a few hours.
No. Bonding is one of the safest dental procedures because it is non-invasive. We do not need to file down or shave your natural tooth structure. We simply roughen the surface slightly to help the resin stick.
The main differences are material, time, and cost.
Bonding: Uses resin, is completed in 1 visit, requires no shaving of the tooth, and is cheaper. However, it stains more easily and lasts 5–7 years.
Veneers: Uses porcelain (Emax), requires lab work (5–7 days), is more expensive, but is stain-resistant and lasts 15–20 years. If you want a quick, budget-friendly fix, Bonding is great. If you want a permanent, stain-proof Hollywood Smile, Veneers are better.
Yes. Our medical team is experienced in treating international patients and speaks English. To ensure you feel completely comfortable, you will also be assigned a dedicated Patient Coordinator who is fluent in English. They will be by your side to translate if necessary and ensure you fully understand every step of your treatment.
The lower cost is due to the economic difference in operational expenses, not a difference in quality. Expenses such as laboratory costs, clinic rent, insurance, and salaries are significantly lower in Turkey compared to the UK, Europe, or USA. This allows us to offer premium treatments using the same global brands (like Straumann, Nobel Biocare, or E.max) at a fraction of the price.
Absolutely. Turkey is a global hub for medical tourism, and the industry is strictly regulated. Novedent holds the International Health Tourism Authorization Certificate issued by the Turkish Ministry of Health. This certifies that we meet rigorous international standards regarding hygiene, sterilization, infrastructure, and medical staff qualifications.
Our dental procedures are done by two outstanding dentists here in Istanbul who have the same level of experience as any modern western dentist. Our dentists have over 10 years of experience with aesthetic dental procedures.
This depends entirely on your specific insurance policy. If your provider covers "out-of-network" or international restorative treatments, you may be eligible for reimbursement. While we cannot deal with insurance companies directly, we will provide you with all the necessary documents including English-language invoices, treatment plans, and X-rays so you can submit a claim upon your return.
Yes. We offer all-inclusive packages to make your trip stress-free. This includes VIP private transfers (Airport–Hotel–Clinic) and assistance with booking accommodation at premium partner hotels nearby.
The duration of your stay depends entirely on the specific procedure or treatment plan you require. However, as a general guide:
Veneers & Crowns: Usually require 5–7 days.
Implants: Typically require two visits. The first visit is 3–5 days, followed by a healing period, and a second visit of roughly 1 week.
Teeth Whitening: Usually completed in 1 day. We will provide you with the exact number of days required for your specific case in your preliminary treatment plan.
During our free online consultation, our dentists will analyze your photos/X-rays and listen to your cosmetic goals. We will explain your options and recommend the best course of action before you book anything.
Sending a Panoramic X-Ray (OPG) beforehand is highly recommended because it allows us to give you a nearly 100% accurate quote. However, if you cannot get one, don't worry. We can provide a provisional estimate based on your photos. When you arrive, we will take all necessary X-rays and 3D Tomography scans in Novedent to finalize your treatment plan.
We offer a free initial consultation for all our international patients. Simply send us a message via WhatsApp or fill the form with photos of your smile and your X-rays (if available). Our dentists will review your case and provide a personalized treatment plan and quote within 24 hours.
We stand behind the quality of our work with a strong warranty policy:
Implants: Typically come with a lifetime manufacturer warranty worldwide.
Veneers & Crowns: Come with a guarantee (usually 5–7 years) against breakage or defects under normal use. If a problem arises due to our workmanship or the material, we will repair or replace it free of charge at our clinic. We advise contacting us immediately with a photo or video if you notice any issues so we can guide you on the next steps.
Absolutely. You are not alone after you leave the clinic. Before you depart, we will provide you a comprehensive "Aftercare Kit" containing necessary medications (antibiotics/painkillers) and detailed hygiene instructions. Once you are home, our patient coordinators remain available via WhatsApp or email to answer any questions or concerns during your healing process.
Generally, yes. For non-surgical treatments like veneers, crowns, or whitening, you can fly the same day or the next day treatment is done. However, for major surgeries (such as Sinus Lifting or multiple implants), we may recommend resting in Istanbul for 24 to 48 hours before your flight to ensure any initial bleeding or swelling has subsided.
Hygiene is key.
- Daily: Rinse it with cold water and a mild soap (not hot water, which can warp it).
- Weekly: Soak it in a denture cleaner tablet or a mix of water and white vinegar for 15 minutes to kill bacteria.
- Never: Use toothpaste (it’s too abrasive and creates scratches where bacteria can hide).
In the UK or US, a custom dentist-made guard can cost $300–$500. At our clinic, we can create one for you for a fraction of that price.
Store-bought ("boil and bite") guards are bulky, uncomfortable, and can even mess up your bite alignment. Our Custom Guards: Are made from a digital scan of your teeth. They are slim, perfectly fitted, and comfortable enough that you will forget you are wearing one.
If you have had Veneers, Crowns, or Implants, we highly recommend a Night Guard. It acts as an "insurance policy" for your new smile. Many people grind or clench their teeth at night (bruxism) without realizing it, which can chip porcelain or damage implants over time. A simple night guard protects your investment.